近日,五官科增加了一台免散瞳眼底照相。免散瞳眼底照相适用于眼底疾病诊断和筛查,尤其适用于糖尿病视网膜病变筛查,青光眼筛查,健康人体检等。并能将所有图像数据便捷地处理、打印、保存。

免散瞳眼底照相
免散瞳眼底照相是无创性的,提供了唯一的、可直观放大的人体血管,许多全身疾病往往会出现眼底改变,如:动脉粥样硬化、高血压、糖尿病、颅内占位性病变等。根据眼底改变可提供全身多种疾病的早期诊断并推测预后。

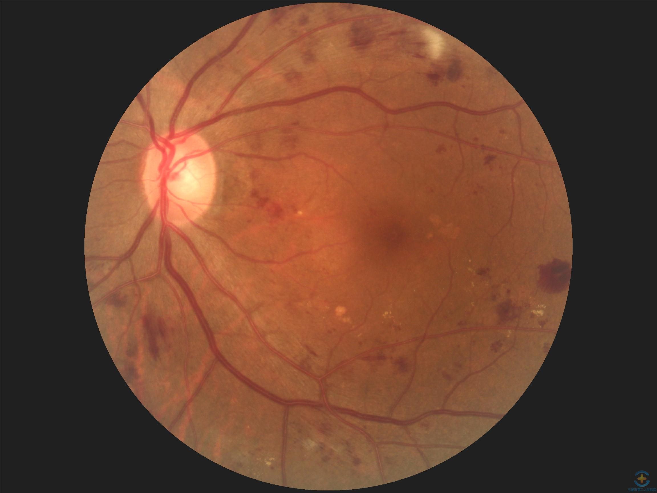
糖尿病性视网膜病变3期

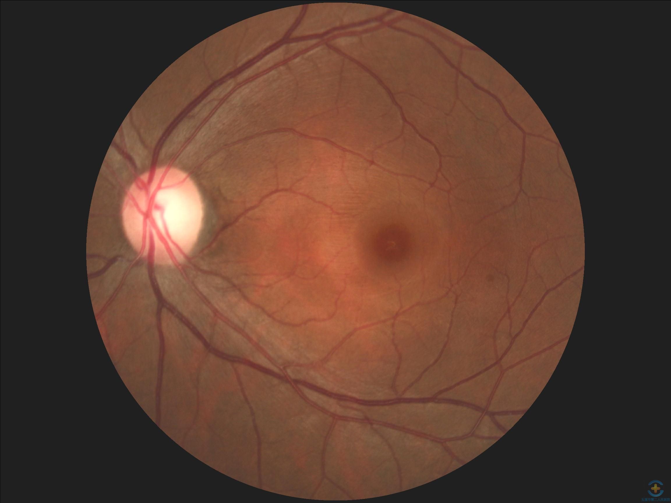
正常眼底图片
糖尿病视网膜病变是眼科四大致盲疾病之一, 早期可以没有明显症状,所有糖尿病患者一定要定期筛查眼底,有利于早期发现与早期治疗,可显著降低糖尿病视网膜病变的致盲率。